Non Ossifying Fibroma
Non Ossifying Fibroma (NOF), iyi sınırlı, genç hastaları etkileyen, intrakortikal yerleşimli, multilokuler ve benign karakterde bir lezyondur. Histiyositlerin ve fibröz dokunun çoğalmasından köken alır. Çocuklar ve ergenler en sık etkilenen yaş grubudur. En sık etkilenen bölgeler femur kemiğinin distali (alt tarafı) ve tibia kemiğinin proksimalidir (üst tarafıdır). Kemiğin büyümesiyle lezyon yeri kemiğin diyafizine doğru kayabilir. NOF yavaş büyüyen ve kemiğe harabiyet vermeyen fakat kemiğin zayıflamasıyla kırık riskine yol açabilen bir tümördür. Erişkinlik döneminde hastaların çoğunda NOF kendiliğinden iyileşir. Gerçek şudur ki NOF yaşamın ikinci on yılında (10-20 yaş aralığında) sıklıkla rastlantısal olarak saptanır. Eğer 2 cm’den küçükse bu durumda Fibröz Kortikal Defekt (FKD) olarak adlandırılır.
GENEL ÖZELLİKLER
· Çocukluk çağında en sık karşılaşılan tümördür. Çocukların neredeyse %30’unda görüldüğü tahmin edilmektedir.
· Sıklıkla semptom oluşturmazlar ve tesadüfen saptanırlar.
· Erkeklerde kadınlara oranla 2 kat daha fazla görülürler.
· Hastaların%5’inden azında Nörofibromatozis ile ya da Jaffe-Campanacci Sendromu ile ilişkilidir. Sütlü kahve (Café-au-lait) lekeleri bunların ikisinde de görülebilir.
· İskelet matürasyonu tamamlandıktan sonra iyileşmeye meyillidirler.
· Çok nadir de olsa NOF’tan Anevrizmal kemik kisti gelişebilir. Anevrizmal kemik kisti ise NOF’un aksine büyüyüp kemiğe harabiyet verebilen agresif bir kemik tümörüdür.
Bulgular
· Patolojik kırıkla başvurabilirler.
· Bazen fizik muayene ile hiçbir bulgu saptanmayabilir.
· Cilt lezyonları (Sütlü kahve lekeleri) saptanabilir ve saptanması durumunda multiple NOF olabileceği akılda turulmalıdır.
Sıklık
· Sıklıkla yaşamın ikinci on yılında yani 10-20 yaşları arasında pik yapar.
· 5-10 ya da 20-25 yaşları arasında da başvurular görülür.
· Erişkinlerde çok nadirdir.
Görülme Bölgeleri
· Olguların çoğu distal femurda, distal tibiada ya da proksimal tibiada görülür (Neredeyse %80).
· Üst ekstremitede çok daha azdır.
· Genelde metafiz yerleşimli korteksten ekzantrik bir şekilde kaynaklandığı görülür.
Görüntüleme Yöntemleri
·
Direkt Grafi (Röntgen)
o Litik ve düzensiz multilokule bir görüntü ile kaşımıza çıkar. Etrafı düzgün ve sklerotik sınırlarla çevrilidir.
o Lezyonun uzun aksı genellikle kemiğe paralel seyreder.
o Sıklıkla metafizyel ve ekzantrik yerleşimlidir ve korteksi içerir.
o Bazen genişlemiş ve çevresi keskin sınırlarla çizili gibi karşımıza çıkabilir.
o Sıklıkla reaktif trabekülasyonlar içerir.
o Yeni kemik yapımı defekti doldurdukça komşu kortikal kemikten daha yoğun bir görüntü oluşturup direkt grafide, tomografide ve MR’da da görülebilen reziduel skar bırakabilir.
· Bilgisayarlı Tomografi (BT)
o Lezyonun gerçek sınırlarını ve uzanımını daha net değerlendirmeyi sağlar.
o Lezyonun içindeki trabekülasyonu daha net ortaya koyar.
· Manyetik Rezonans (MR) Görüntüleme
o Olası bir Anevrizmal Kemik Kisti gelişimini göstermede faydalıdır.
o T2’de heterojen sinyal değişiklikleri görülür.
o T1’de ise düşük sinyal ile karakterizedir.
· Tüm Vücut Taraması
o Çoklu lezyonların ortaya konması için kullanılabilir.
o Kırık oluşana kadar genellikle düşük seviyede uptake görülür.
TEDAVİ
· Takip ve gözlem kemik bütünlüğünün bozulmadığı ya da tehdit altında olmadığı durumlarda yeterlidir.
· Cerrahi ile küretaj ve greftleme kemiğin %50’sinden fazlasının tutulduğu durumlarda gerekli olabilir.
· Patolojik kırık görülen durumlarda önce kırığın iyileşmesi beklenip sonra NOF tedavisi yapılabilir.

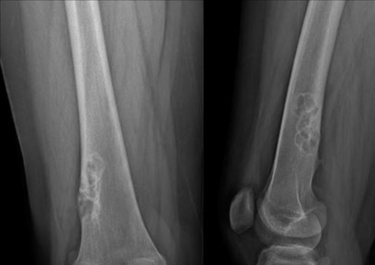
Distal femurda NOF’u olan, uzun süre takip ettiğim hastanın direkt grafi görüntüsü.

Distal femurda NOF’u olan, uzun süre takip ettiğim hastanın bilgisayarlı tomografi görüntüsü

istal femurda NOF’u olan, uzun süre takip ettiğim hastanın MR görüntüsü

Takiplerinde ağrıları olan hastanın kırık riski de olması nedeniyle ameliyatından ve ameliyat sonrası grafilerinden görüntüler