• Bu iki konu sıklıkla birbirine karışabilen konulardır.
    Kemik Tümörü kemikten ya da kemiğin içinden anormal büyüyen iyi ya da
    kötü huylu tümöral bir dokuyu ifade eder.
    Kemik Kanseri ise kötü huylu kemik tümörünün karşılığıdır.
  • Osteosarkom, kemik dokusundan kaynaklanan nadir bir kanser türüdür. 
    Cerrahi: Tümörün çıkarılması amacıyla cerrahi müdahale yapılabilir.
    Eğer mümkünse, etkilenen kemik çıkarılır ve protez veya greft gibi yerine konabilir.

  • Küçük, yuvarlak, mavi hücreli sarkomlar grubundadır.
    Kemiğin dördüncü en sık görülen primer malign tümörüdür.
    Kromozom anomalisi söz konusudur.

  • Genellikle genç erişkinlerde ve çocuklarda görülen iyi huylu kemik tümörlerinden birisidir.
    En sık femur ve tibia kemiklerinde görülür.
    Boyutları genellikle 2 cm’den küçüktür.
    Vücudun başka yerlerine sıçramaz, kanser değildir.

Hoş Geldiniz

Doç. Dr. Osman Civan Kimdir?

Doç. Dr. Osman Civan Kimdir?

Doç. Dr. Osman Civan Antalya'da Kemik ve Yumuşak Doku Tümörleri başta olmak üzere; omuz ve diz cerrahisi ile bu alanl...

Eğitimler

  • British Orthopaedic Oncology Society (BOOS) Diploma Course in Orthopaedic Oncology 2024-2025 (Ortopedik Onkoloji- Kemik Tümörü ve Yumuşak Doku Tümörü)
  • Musculoskeletal Pathology Course- Musculoskeletal Tumor Treatment/ İtalya (2022) (Kemik Tümörleri ve Yumuşak Doku Tümörleri)
  • University of Padua / İtalya- Ortopedik Onkoloji (Kemik ve Yumuşak Doku Tümörleri)(2021)
  • Gelenkchirurgie Orthopadie Hannover/Almanya – Artroskopi/ Omuz ve Diz Cerrahisi (2017)
  • Akdeniz Üniversite...
Hakkımda daha fazla bilgi

İletişim için Whatsapp Numaramız

Kas-İskelet Sistemi Tümörleri Hakkında Genel Bilgiler

Tümöre Ne Sebep Olur?Aslında bir sarkom’a ya da iyi huylu kemik tümörüne neyin sebep olduğunu bilmek...

Devamını oku
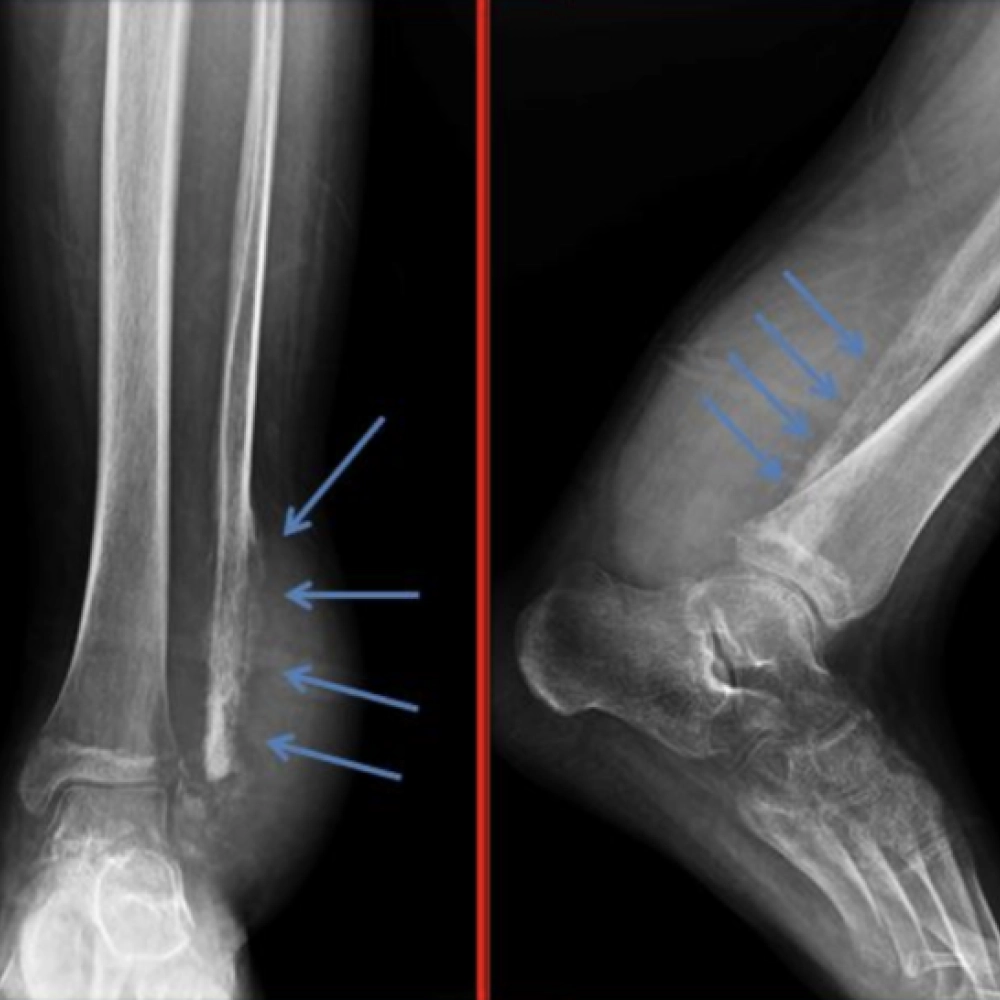
Osteosarkom Nedir ve Tedavisi

Osteosarkom, mikroskobik düzeyde incelendiğinde immatür kemik üretiminin olduğu, sıklıkla kemikten o...

Devamını oku
Ewing Sarkomu

Küçük, yuvarlak, mavi hücreli sarkomlar grubundadır.· Kemiğin dördüncü en sık görülen primer malig...

Devamını oku